Другие кейсы
На главную страницу
Замена старых виниров
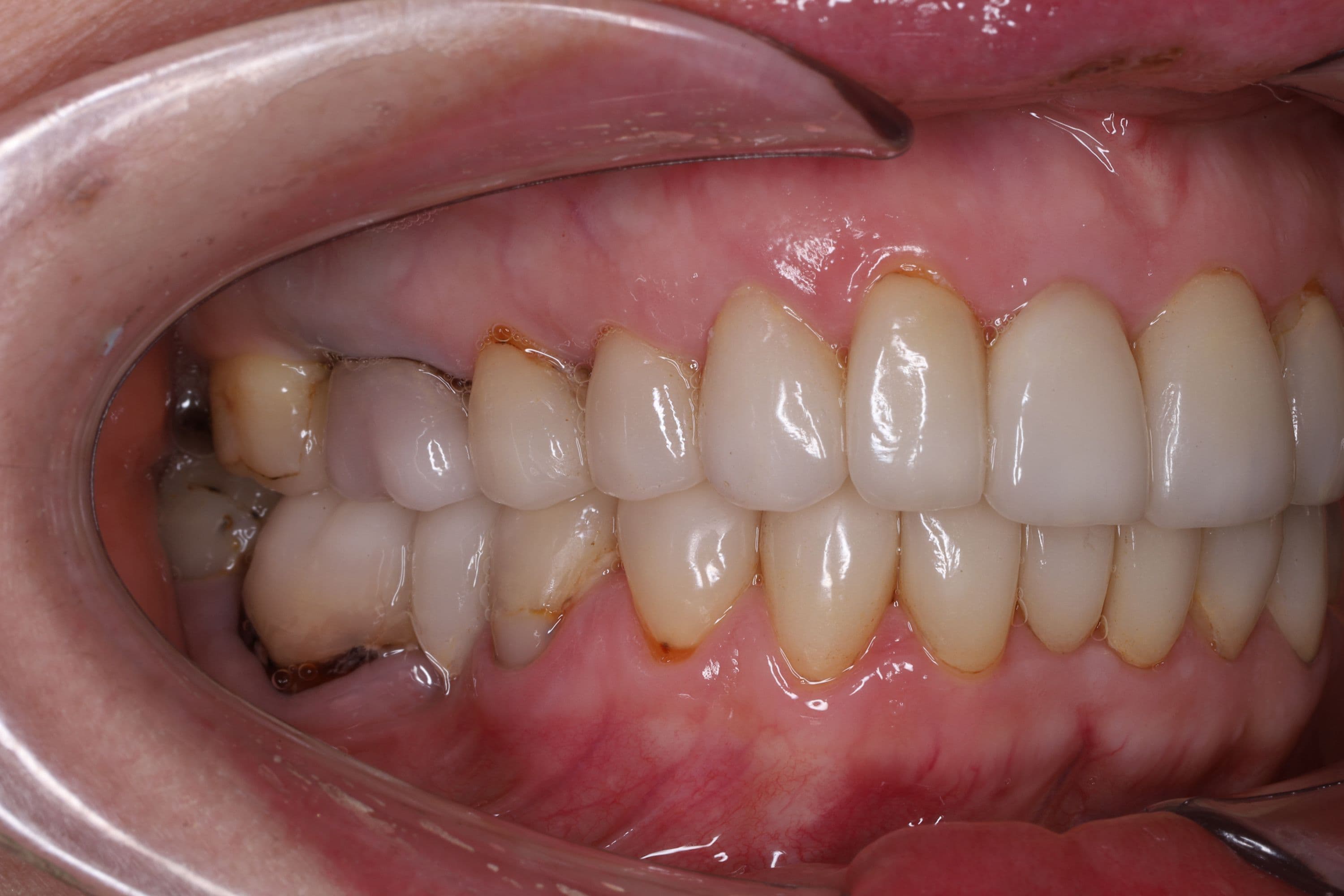
Исходная ситуация
Пациентка обратилась с винирами, установленными 20 лет назад
Исходная ситуация
В области многих зубов за 20 лет произошла рецессия, развился пришеечный кариес
Результат
Устранили воспаление мягких тканей, изготовили и установили новые виниры
Результат
Получили яркую, и при этом естественную улыбку - реставрации полностью имитируют форму и текстуру натуральных зубов
Оставьте заявку
Напишите номер телефона, чтобы записаться на консультацию
Имя
Email
Телефон
Комментарий
Форма успешно отправлена!
Во время отправки произошла ошибка.
Попробуйте еще раз.
Необходимо заполнить хотя бы одно поле!
Нажимая на кнопку, вы соглашаетесь с условиями обработки персональных данных и
политикой конфиденциальности